
안녕하세요! 오늘은 대퇴부 통증에 대해 함께 이야기해 보려고 해요. 혹시 최근에 엉덩이나 허벅지 부위에 불편함을 느끼신 적이 있으신가요? 대퇴부 통증은 우리가 생각하는 것보다 흔한 문제인데, 원인도 다양하고 증상도 각양각색이랍니다. 이 통증이 어떤 이유로 발생하는지, 또 어떤 식으로 치료하고 관리해야 하는지 궁금하시죠? 그러면 차근차근 알아보면서 함께 이야기 나눠보아요!
대퇴부 통증의 원인 분석

대퇴부 통증은 많은 사람들이 경험하는 증상 중 하나입니다. 이 통증은 여러 가지 원인으로 발생할 수 있는데, 그 원인들을 좀 더 깊이 살펴보면 흥미로운 요소가 많답니다! 🤔
골격계의 손상
우선, 대퇴부 통증의 가장 흔한 원인 중 하나는 골격계의 손상입니다. 예를 들어, 대퇴골 골절은 특히 사고나 심한 외부 충격으로 인해 발생할 수 있습니다. 실제로, 미국에서는 매년 약 30만 건의 대퇴골 골절 사고가 발생하고 있어요! 그런데 아시나요? 골절로 인한 통증은 치료 후에도 장기적으로 영향을 미칠 수 있다는 점이죠.
근육의 과도한 사용
또한, 근육의 과도한 사용이나 부상도 중요한 원인입니다. 과도한 운동이나 신체 활동은 대퇴부 근육에 부하를 주어 염좌나 근육 경련을 유발할 수 있어요. 특히, 달리기나 자전거 타기와 같은 고강도 운동은 대퇴부에 큰 영향을 미친답니다! 🌟
관절 질환
그리고 관절 질환도 빼놓을 수 없어요. 퇴행성 관절염, 즉 골관절염은 대퇴부 통증을 유발할 수 있는 주요 요인 중 하나입니다. 이 질환은 주로 나이가 들어감에 따라 발생하는데, 50세 이상의 인구에서 약 20%가 이 문제로 고통받고 있다고 해요.
기타 원인
그 외에도, 인대 손상, 하지정맥류, 또는 심혈관 질환이 대퇴부 통증과 관련될 수 있는데요. 특히 하지정맥류의 경우, 혈액 순환이 불량해져 통증을 유발할 수 있고, 심혈관 질환의 경우 신체의 여러 부분에 통증을 느낄 수 있습니다. 신체는 하나의 단위로 연결되어 있기에, 고통의 원인이 대퇴부에 국한되지 않을 수 있다는 점도 중요하게 생각해야겠죠? ⚡️
복합적인 원인
마지막으로, 대퇴부 통증은 이러한 여러 원인들이 복합적으로 작용해 나타날 수 있다는 점을 기억해 주세요! 통증의 원인이 단기적인 문제일 수도 있지만, 장기적으로 악화될 수 있는 요인들이 많기 때문에 초기 진단과 적절한 치료가 필요하답니다.
대퇴부 통증을 경험하신다면, 조기 진단과 함께 자신에게 맞는 치료 방법을 모색하는 것이 중요하다고 할 수 있습니다. 항상 자신의 신체 상태를 세심하게 관찰하고, 필요 시 전문가와 상담해보는 게 좋은 전략이겠죠? 건강이 최우선이니까요! 💪✨



증상의 종류와 특징

대퇴부 통증은 여러 원인에 의해 발생할 수 있으며, 그로 인해 나타나는 증상 역시 다양합니다. 일반적으로 대퇴부 통증은 5가지 주요 증상으로 분류할 수 있습니다. 각각의 증상이 어떻게 느껴지는지 알아보겠습니다! 😊
첫 번째 증상: 통증
첫 번째는 통증입니다. 통증의 감각은 뚜렷하게 구분될 수 있습니다. 예를 들어, 둔탁한 통증이 느껴질 수도 있고, 날카로운 통증이 있을 수도 있습니다. 이 통증은 일상 생활에서의 동작을 어렵게 만들기도 하며, 특정 자세에서 더 심해질 수 있습니다. 통계에 따르면, 대퇴부 통증을 경험한 사람 중 약 60%가 운동을 할 때 통증을 느낀다고 하네요!
두 번째 증상: 부종
두 번째는 부종입니다. 부종이란 해당 부위가 부풀어 오르는 현상을 말하는데, 이는 염증의 큰 신호일 수 있습니다. 특히 관절 주변에 부종이 생기면 더욱 눈에 띄게 됩니다. 이럴 경우, 피부가 따뜻하거나 발적이 동반될 수 있습니다. 이렇게 부풀어 오른 대퇴부는 불편할 뿐만 아니라, 통증을 유발하는 주요 원인이기도 합니다! 🔥
세 번째 증상: 제한된 가동 범위
세 번째는 제한된 가동 범위입니다. 대퇴부에 통증이 생기면, 자연스럽게 움직이는 범위가 제한됩니다. 예를 들어, 무릎을 굽힐 때나 다리를 뻗을 때 불편함을 느낄 수 있습니다. 한 연구에서는 대퇴부 통증 환자의 70%가 이런 가동성 제한을 겪고 있다고 보고되었어요. 느낌이 어떤지 상상이 가시나요? 💪
네 번째 증상: 경직
네 번째는 경직입니다. 경직은 주로 아침에 일어난 직후나 오랜 시간 앉아 있는 후에 느끼게 되는데요. 그렇기 때문에 운동 후나 긴 시간을 앉아 있었던 후라면 더욱 주의가 필요합니다. 이 경직증은 근육의 피로도를 높이는 요인이 될 수 있으며, 대퇴부 근육이 뭉치거나 편안한 움직임을 방해하게 됩니다.
다섯 번째 증상: 근육 약화
마지막으로 다섯 번째는 근육 약화입니다. 대퇴부의 일부 근육이 약해지면, 체중을 지탱하는 데 어려움이 생길 수 있습니다. 이렇게 되면 걸음걸이도 불안정해지고 넘어지기 쉬운 체형이 될 수 있으니 주의해야 합니다. 🚷
각 증상이 어떠한지 감이 오시죠? 대퇴부 통증은 여러 요소가 복합적으로 작용하여 발생할 수 있는 만큼, 증상을 잘 이해하고 관리하는 것이 중요합니다. 이렇듯 다양한 증상들이 대퇴부 통증과 연결되어 있으니, 만약 자신이 겪고 있는 통증에 대해 검토가 필요하다면 전문가와 상담하는 것이 좋습니다. 😊✨



진단 방법과 절차

환자의 증상 파악
대퇴부 통증을 진단하기 위한 과정은 여러 단계로 이루어집니다. 그중 가장 중요한 것은 환자의 증상을 파악하고, 이를 근거로 적절한 검사를 시행하는 것입니다. 일반적으로 초기에는 환자의 병력 청취가 이루어집니다. 이때 의사는 통증의 위치, 강도, 발생 시점, 지속 시간 등을 자세히 질문하게 됩니다. 예를 들어, 통증이 특정 활동 후에 발생하는지, 아니면 지속적으로 느껴지는지 등의 정보를 수집합니다.
신체 검사 단계
그 다음으로는 신체 검사 단계입니다. 이 단계에서는 대퇴부를 포함한 관절과 근육의 상태를 평가하는데, 의사가 다양한 움직임을 유도하여 통증의 원인을 파악합니다. 이를 통해 근육의 강도, 관절의 움직임 범위, 그리고 부기나 통증의 발생 여부를 확인합니다. 몇몇 이론에 따르면, 이러한 신체 검사는 대퇴부 통증 원인을 60~80% 정도 정확하게 판단할 수 있다고 합니다!
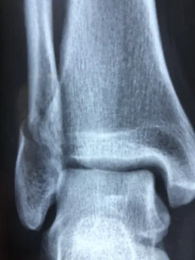
영상 진단검사
이후, 진단의 정확성을 높이기 위해 영상 진단검사가 필요할 수 있습니다. 이때 사용하는 대표적인 검사로는 X-ray, MRI(자기공명영상), CT(컴퓨터 단층촬영) 등이 있습니다. X-ray는 뼈의 구조를 확인하는 데 유용하고, MRI는 연조직, 예를 들어 인대나 연골의 손상을 평가하는 데 탁월하죠. CT는 좀 더 상세한 이미지를 제공하여 병변의 위치를 정확히 파악하는 데 도움을 줍니다.
MRI의 중요성
가장 흔히 사용되는 검사인 MRI의 경우, 고해상도의 이미지를 제공하여 대퇴부 통증의 다양한 원인을 탐지할 수 있습니다. 예를 들어, 연골 파열, 인대 염좌, 또는 관절염과 같은 문제가 있을 때 MRI는 그 결과를 명확하게 보여준답니다.
물론, 이러한 영상 검사는 모든 환자에게 필요한 것은 아닙니다. 증상이 경미하거나, 초기에 대처가 가능한 경우에는 의사 판단에 따라 생략되기도 합니다. 대신, 혈액 검사나 초음파 검사가 원인을 찾는 데 도움이 될 수도 있습니다. 혈액 검사에서는 감염이나 염증의 지표를 확인할 수 있습니다.
치료 계획 수립
진단의 마지막 단계에서는 검사 결과를 통해 치료 계획을 수립하는 것입니다. 이 과정에서 의사는 해당 통증의 원인에 맞는 맞춤형 치료를 제공하게 됩니다. 비수술적 방법으로는 물리치료, 약물 치료가 많이 사용되며, 필요에 따라 수술을 고려하기도 하지요.
결국, 대퇴부 통증의 정확한 진단을 위해서는 여러 단계의 체계적인 접근이 필요하답니다. 이러한 절차를 통해 환자는 신뢰할 수 있는 진단과 효율적인 치료를 받을 수 있으며, 통증에서 벗어날 수 있는 길이 열리게 됩니다.
통증의 원인 파악과 치료 계획이 얼마나 중요한지 실감할 수 있는 과정이 아닐까 싶네요. 그러니 대퇴부 통증이 지속되거나 악화된다면 전문가의 도움을 받는 것이 정말 중요합니다!



치료 및 관리 전략

대퇴부 통증을 치료하고 관리하는 방법은 다양합니다. 통증의 원인과 정도에 따라 각기 다른 접근이 필요하죠. 많은 사람들이 대퇴부 통증으로 고생하는 만큼, 효과적인 관리 전략이 무엇인지 꼭 알아두셔야 합니다!
기본적인 치료 방법
우선, 가벼운 통증이라면 집에서 시행할 수 있는 기본적인 방법으로 시작할 수 있어요. 🔍 얼음찜질이 그 중 하나입니다. 통증이 있는 부위에 얼음을 15-20분 동안 올려주면 염증 완화에 큰 도움이 됩니다. 또한, 물리치료도 많은 도움을 줄 수 있습니다. 물리치료사는 통증을 줄이고 기능을 회복하기 위해 맞춤형 운동 프로그램을 제안해 줄 거예요. 그렇게 하면 일상생활에서의 움직임이 훨씬 편해질 수 있답니다.
약물 치료
약물 치료 역시 중요한 부분이에요. 비스테로이드 항염증제(NSAIDs) 같은 약물들은 통증과 염증을 감소시키는 데 효과적입니다. 그러나 장기적으로 복용할 경우 위장에 부담이 될 수 있으니 주의가 필요합니다! 이러한 약물 사용은 반드시 의료 전문가와의 상의를 통한 것이어야 고통 없이 사용하실 수 있어요. 😌
운동의 중요성
일상생활 속에서 할 수 있는 운동도 중요합니다! 유산소 운동, 스트레칭, 그리고 재활 운동 등은 모두 대퇴부 통증 관리에 한몫합니다. 특히 유산소 운동은 혈액순환을 돕고 근력을 강화하는 데 좋은 효과를 줄 수 있어요. 예를 들어, 가벼운 걷기나 수영은 많은 사람들에게 추천되는 운동이랍니다. 하지만, 운동량이 너무 과도하면 오히려 악화될 수 있으니 본인의 몸 상태를 잘 체크해야 해요! 💪
자세 교정
또한, 자세 교정도 주목할 만한 포인트입니다. 잘못된 자세는 대퇴부 통증의 원인 중 하나일 수 있기 때문이죠. 의식적으로 자세를 바르게 하고 목과 허리의 긴장을 풀어주면 통증이 줄어들 수 있습니다. 이를 위해 전문가의 도움이 필요한 경우도 많으니, 필요 시 전문가에게 상담해 보세요.
보조 기구 사용
그리고 보조 기구를 사용하는 것도 한 방법입니다. 예를 들어, 보행 보조기구는 안전하게 움직임을 도와줄 뿐만 아니라, 부상 방지를 위한 효과적인 도구가 될 수 있습니다. 특히, 관절이나 뼈에 무리가 가는 것을 방지하기 위해 사용되는 다양한 제품들이 많이 있으니, 신중하게 선택하는 것이 좋습니다.
식습관 관리
마지막으로, 식습관 관리도 무시할 수 없는 요소입니다. 강한 통증을 완화하는 데 적합한 음식을 섭취하는 것은 매우 중요하죠! 오메가-3 지방산을 포함한 생선, 항산화 성분이 풍부한 과일과 채소는 여러분의 몸에 힘을 줄 수 있어요. 불필요한 염증을 유발할 수 있는 음식, 예를 들어 가공식품이나 설탕은 가능한 한 피하는 게 좋답니다. 🥗
이런 다양한 접근 방식들이 대퇴부 통증을 완화하는 데 큰 도움이 될 것입니다. 자신의 몸에 맞는 전략을 지속적으로 실천하면, 분명 더 나은 결과를 얻을 수 있을 거예요! 😊
대퇴부 통증에 대한 이야기를 나누어보니, 많은 요소들이 얽혀 있네요. 원인부터 증상, 진단 방법, 그리고 치료 전략까지 다양한 정보를 알아보았죠. 통증이 생기면 불편하고 일상생활에 영향을 줄 수 있는데, 그래서 조기에 진단받는 것이 중요합니다.
우리가 겪는 통증의 구체적인 상태와 그에 대한 치료 방법을 알고, 꾸준한 관리가 필요합니다. 이 과정이 조금 복잡할 수 있지만, 자신의 몸을 이해하고 챙기는 길이기도 하지요. 여러분도 이 정보를 바탕으로 필요한 경우 전문가의 도움을 받아보세요. 통증 없는 밝은 일상을 기원합니다!


